Designed for Canadian healthcare privacy

Secure it.
Send it.

Encrypted medical file sharing for physicians. Works even when the recipient doesn't have the app.

EMMS encrypted chat with medical images

Send securely — however your recipient works

EMMS adapts to how you work. Send a quick encrypted message, or bundle images into a structured Clinical Case with context and a voice explanation — and if your recipient doesn't have the app, EMMS creates a secure link automatically.

Encrypted chat between physicians
With the app

It's just messaging

If your colleague has EMMS, it works like any messaging app. Open a chat, attach files, send. Images and videos load inline, tap to view full-screen. React to messages, reply in-thread, and see when your message has been delivered and read. Everything is encrypted end-to-end automatically — you don't have to think about security, it's built in.

Clinical Case

Bundle images into a clinical case

When a quick image isn't enough, create a Clinical Case — bundle up to 5 images with a title, context note, and a voice explanation into a single grouped message. It arrives as one organised card in the chat thread, keeping related images together rather than scattered through the conversation. Forward a case to another colleague and everything travels with it — images, metadata, and voice note.

Clinical case bubble in chat
Clinical case detail view with voice note
Side-by-side image compare mode with synchronised zoom

Full case detail view — title, images, context note, and voice note playback (left) · Side-by-side compare mode with synchronised zoom and pan (right)

Without the app

Secure link via SMS

If the recipient doesn't have EMMS, the app detects this automatically, creates the encrypted secure link, and opens your phone's default messaging app with everything pre-filled. You send it yourself — EMMS never sends SMS on your behalf. The recipient verifies with a one-time code and views the files in their browser.

SMS secure link send screen

Works even when the recipient isn't on EMMS

The biggest problem with secure messaging apps is getting the other person to install it. EMMS eliminates that entirely — and the secure link is still encrypted end-to-end.

Encrypted SMS secure link

EMMS creates the encrypted secure link and opens your phone's default messaging app with everything pre-filled. You send it yourself — EMMS never sends SMS on your behalf. The recipient taps the link, verifies their phone with a one-time code, and views the files in their browser. No app download. No account creation.

Phone verification only

The recipient enters a time-limited 6-digit code sent to their phone. No passwords, no accounts, no email addresses. Access expires automatically.

More secure with the app

SMS secure links are encrypted end-to-end — but the app provides deeper protection. Encryption keys live permanently on the device rather than in a temporary browser session. Files are stored in an encrypted sandbox with PIN and biometric lock, screenshot prevention, and automatic expiry. The app is the secure home for clinical files — SMS is the secure bridge when you need one.

SMS secure link send screen
SMS secure link recipient view in browser

We can't read your messages.
We can't access your files.

EMMS uses a zero-knowledge architecture. Your content is encrypted on your device — our servers handle delivery but never see what's inside. No third-party service can access your message or file content.

End-to-end encrypted

Content is encrypted on your device before it leaves. Our server processes the delivery but never sees the content. We couldn't read it even if compelled to.

Per-recipient encryption

In group conversations, each member receives an individually encrypted copy of the content. There is no shared key that could compromise the group.

Never touches your camera roll

Files are encrypted on-device, not just in transit. Images are stored inside the app's encrypted sandbox and never appear in your photo library.

Deleted after delivery

Files are removed from the server once delivered to the recipient. Nothing lingers on infrastructure you don't control.

Phone numbers never stored on our servers

EMMS routes communication via hashed identifiers — we don't store your phone number on our infrastructure. When a recipient opens a secure link, our SMS provider (Twilio) delivers the verification code. Twilio never receives message or file content.

No cloud backup leakage

The app explicitly excludes all data from iCloud, iTunes, and Google Cloud backups. Your medical files don't silently replicate to cloud storage you haven't consented to.

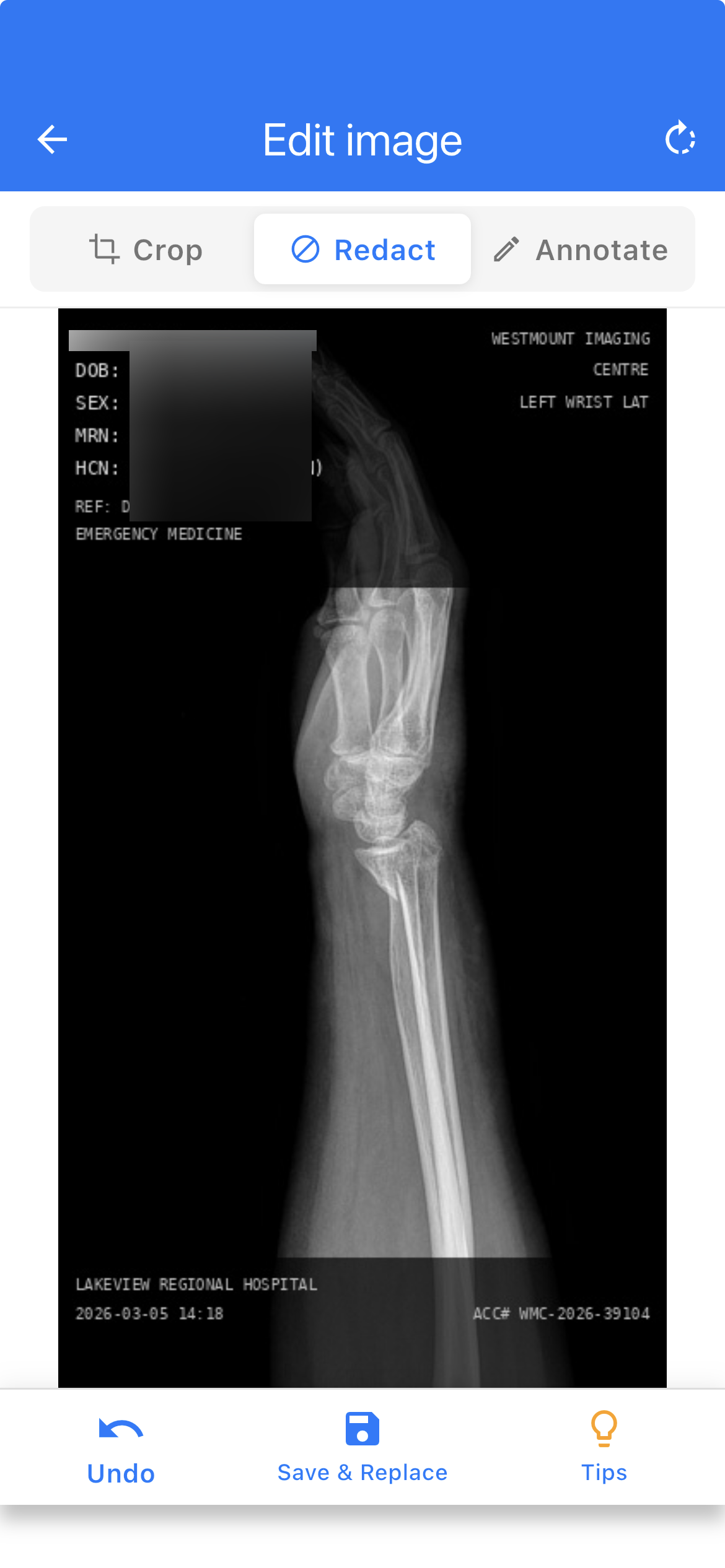
EMMS redaction tool

Built for how physicians actually work

Every feature was designed around clinical workflows — not adapted from a consumer messaging app.

Clinical case bundles

Group up to 5 images into a single case with a title, context note, and voice explanation. Arrives as one organised card — tap to open the full case viewer with pinch-to-zoom up to 14x, brightness and contrast controls, and side-by-side compare mode with synchronised zoom and pan.

Built-in redaction tools

Blur patient names, MRNs, and identifiers directly in the app before sending. Crop, redact, and annotate without leaving the encrypted pipeline.

Multi-capture camera

Capture multiple clinical images in sequence, review and annotate each one, then batch send — all within the encrypted environment.

Encrypted gallery with tagging

Browse received files by type — images, PDFs, documents — without leaving the app. Everything stays encrypted and organised.

File retention with expiry

Medical data doesn't live on a device forever. Set retention periods so files are automatically removed after a defined timeframe.

Encrypted voice notes

Quick verbal notes within the encrypted pipeline. Describe findings, dictate instructions, or add clinical context — all encrypted end-to-end.

Encrypted group conversations

Care team discussions in a single encrypted thread. Bring together GPs, specialists, and allied health providers — each member receives individually encrypted content, with no shared key that could compromise the group.

Encrypted voice calling

End-to-end encrypted calls between EMMS users — unlike a regular phone call, the audio never passes through a carrier network unprotected. Discuss results, coordinate care, follow up on a referral. All within the same secure platform.

Your phone is your weakest link.
We hardened it.

Even if your device is lost, stolen, or compromised, patient data inside EMMS remains protected.

App lock with PIN and biometrics

EMMS requires authentication every time it's opened. Supports fingerprint, face recognition, and PIN — independent of your device lock screen.

Screenshot and recording prevention

EMMS actively prevents screen capture and recording on supported devices. On platforms where full prevention isn't possible, the app detects capture events and alerts you.

Authentication failure protection

If your PIN is entered incorrectly, EMMS enforces a cooldown period. After repeated failures, the app performs a full data wipe to protect patient information. No manual intervention needed.

Encrypted app sandbox

All images and files are stored encrypted inside the app's isolated sandbox. Nothing is written to the camera roll, photo library, or any shared storage location.

Remote wipe on device change

If your phone is lost or stolen, sign in on a new device — the previous session is automatically revoked and all local data on the old device is wiped. No IT department needed.

Designed for Canadian
healthcare privacy

EMMS is designed for Canadian Healthcare Professionals.

Built around Canadian health privacy principles, with end-to-end encryption, ephemeral storage, and Canada-only servers.

Server located in Canada. Your data doesn't leave the country. Infrastructure is hosted exclusively within Canadian borders.

Minimal data collection. We don't store phone numbers on our servers. Limited metadata (hashed identifiers, timestamps) supports delivery and security only. We use Firebase for push notifications and Twilio for SMS verification codes — neither receives your message or file content.

Content is never accessible to EMMS. End-to-end encryption means we can't read it, can't share it, and can't be compelled to produce it. Zero-knowledge architecture.

Simple, transparent pricing

Compare the cost to the liability risk of sending patient data over unencrypted channels.

All prices in Canadian dollars. The cost of a single privacy breach — regulatory fines, reputational damage, lost patient trust — far exceeds the annual cost of EMMS.

Available on iOS and Android

No IT setup. No admin provisioning. No email account required. Download the app, verify your phone number, and start sending — in under two minutes.

Frequently asked questions

Quick answers to the questions we hear most from physicians and IT teams.

Canadian privacy law?
EMMS is built around the core privacy principles that underpin Canadian health data law — consent, data minimization, purpose limitation, and strong technical safeguards. Our end-to-end encryption architecture means patient data is never accessible to EMMS as a platform; we cannot read, share, or be compelled to produce content we don't hold. All data processing and storage occurs within Canada. EMMS is a secure communication tool, not a regulated health record system — it is designed to support the confidentiality obligations that Canadian healthcare professionals already carry under their professional and jurisdictional duties.
What happens if I lose my phone?
All data inside EMMS is encrypted within the app's sandbox and protected by your PIN or biometric lock. If authentication fails repeatedly, the app enforces a cooldown period, and after continued failures, performs a complete data wipe. Files are never stored in your camera roll or backed up to iCloud or Google Cloud. A lost phone doesn't mean lost patient data — sign in on a new device to automatically log out and wipe the old one.
What if the recipient doesn't have the app?
EMMS automatically detects whether your recipient has the app. If they don't, it creates an encrypted secure link and opens your phone's default messaging app with everything pre-filled — you send it yourself, EMMS never sends SMS on your behalf. The recipient taps the link, verifies their phone number with a one-time code, and views the files in their browser. Files are encrypted end-to-end and decrypted in the browser after verification. The link is time-limited and single-use. No app download required, no account creation needed.
Where are your servers?
All EMMS infrastructure is hosted in Canada. Your data never leaves Canadian borders. Our servers handle message routing and delivery, but because of end-to-end encryption, the server never has access to the content of your messages or files.
How much does it cost?
EMMS is $14.99 CAD/month with a 14-day free trial — cancel anytime during the trial at no cost. Subscription is managed through the App Store or Google Play.

Free consumer messaging apps are funded by advertising, data collection, or donations — and none were designed for clinical use. EMMS charges a subscription so the product is funded by the people who use it, not by monetising their data. Your subscription pays for Canadian server infrastructure, SMS delivery, ongoing security development, and a platform with no advertising and no third-party access to your content. No one else pays us — which means no one else has a claim on your data.
Can I make secure calls?
Yes. EMMS supports encrypted voice calling between users who both have the app. Unlike a regular phone call, which travels unencrypted through carrier networks, EMMS calls are end-to-end encrypted using WebRTC — the audio is encrypted on your device and decrypted only on the recipient's device. Our servers handle call routing but never have access to the audio content.
Can I use it on multiple devices?
EMMS is currently designed as a single-device application to maintain the strongest possible security posture. Your encryption keys are tied to your verified device. Multi-device support is on our roadmap and will be implemented in a way that maintains end-to-end encryption integrity without compromising the security model.